Orthopedic surgeon, CMS
Adress: Polytechnicheskaya St., Building 32
Tel.: +7 (812) 775-75-50
|
|
|
|
Number of consultations |
High-tech operations |
Operations annually |
|
1500+ |
450+ |
700+ |
Alexandr MushkinHead of the Vertebrology and traumatology-orthopedics Research group orthopedic surgeon, DMS, professor |
Andrey PershinHead of the Children musculoskeletal system pathology Research laboratory orthopedic surgeon, CMS |
Igor KomolkinLeading researcher, Head of the Thoracic orthopedics Research group orthopedic surgeon, DMS |
Alexei MaletinOrthopedic surgeon |
Anna MakarovaPediatrician |
Veronika PetuhovaOrthopedic surgeon, CMS |
The Department is the only medical institution in the Russian Federation that performs a full range of diagnostic and therapeutic measures for children with destructive lesions of any part of the skeleton, including minimally invasive biopsies, immunological studies, histological and bacteriological verification.
The main principle of work: mandatory consideration of the child’s age characteristics and growth potential.
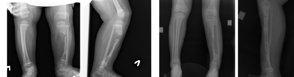
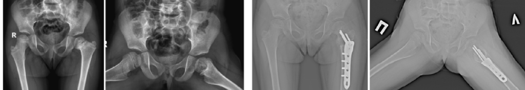
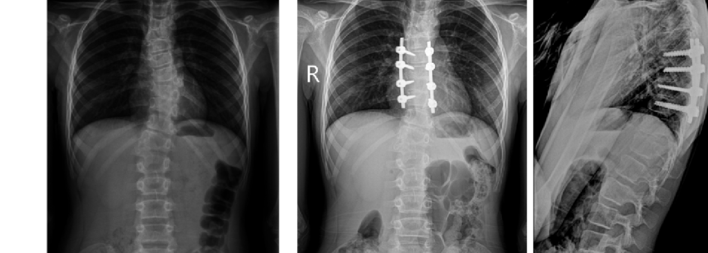
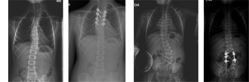
Technical capabilities: minimally invasive and reconstructive surgery technologies, bone plastic materials and instrumental fixation, modern power and ultrasound surgical equipment, navigation, neuromonitoring.
Main areas of surgical work:









Each room has a private shower, toilet, storage space for personal belongings and functional beds.

Any adult, child, or parent experiences fear, anxiety, and stress when admitted to the hospital. We understand this and strive to provide you with the necessary comfort. The professionalism and high qualifications of our clinic staff, along with your support, will ensure successful treatment, the goal of which is to restore children's health and smiles!
You can receive qualified medical care from the Institute's specialists by sending a request to the email address:
|
Galina Dalal |
gl.dalal@spbniif.ru |